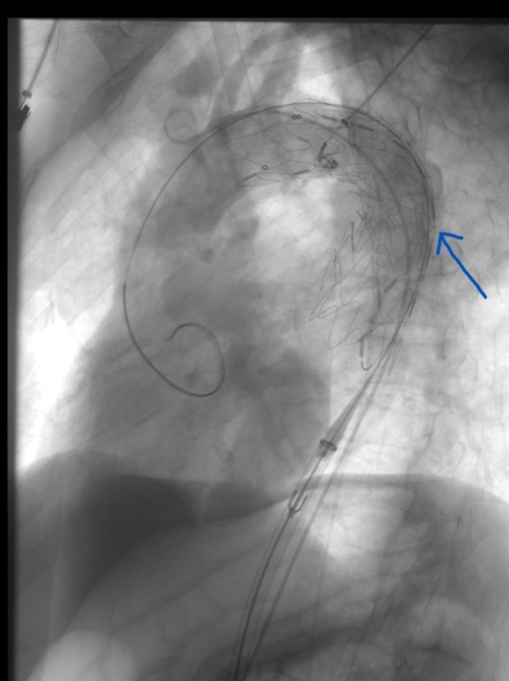
Cerrahi ile teknolojinin birlikte kullanıldığı ve Türkiye’de az sayıda merkezde yapılabilen özellikli ve nitelikli ameliyatlar artık Karaman Eğitim ve Araştırma Hastanesinde de gerçekleştiriliyor. İlimizde göğüs ve karın bölgesinde Aort denilen en büyük atardamarın balonlaşması nedeniyle hastaneye yatırılan 65 yaşındaki A.B.Ç isimli bir hastaya eşzamanlı olarak hem göğüs hem de karın bölgesindeki balona açık cerrahi uygulamadan kapalı olarak başarılı şekilde müdahale edildi. Konuyla ilgili olarak Kalp Damar Cerrahisi uzmanlarından Op. Dr. Sencer KILIÇ ve Dr. Öğr. Üyesi Osman Yaşar Işıklı yapmış oldukları açıklamalarda şu ifadeler yer verdiler:“Aort denilen vücudumuzun en büyük atar damarın karın bölgesindeki balonlaşması genellikle herhangi bir yakınmaya neden olmadan sessizce genişler ve patlamaya yol açar. Bu durumdan muzdarip hastanın %80 i kaybedilir. Ameliyata ulaşmış hastalarında riski yüksektir. Kanamaya yol açmış tüm hastaların en çok %10 ile 20 si taburcu olmaktadır. Risk altındaki kişilerin anevrizma olup olmadığı önceden saptanabilirse cerrahi ya da endovasküler (TEVAR /EVAR) girişim ile yaşam tehlikesi ortadan kalkar. Sigara ve genetik faktörler balonlaşmada rol oynar.65 yaş ve üzeri grupta her 65 erkekten birinde bu hastalık görülür. Erkeklerde bayanlardan 5 kat daha sık görülmektedir. Ülkemizde her yıl 3500 ile 4000 arası kişide tehlikeli balonlaşma olduğu tahmin edilmektedir. 65 yaş ve üzeri erkekler kalp ve damar cerrahisi uzmanına başvurması gerekir. Sigara içiliyorsa veya ömür boyunca 5 paketten fazla içildi ise ailede bu hastalığa sahip olanlar varsa risk daha yüksektir. Basit görüntüleme yöntemleri ile ana damarlarda balonlaşma olup olmadığı saptanabilir. Her balonlaşma girişim gerektirmeyebilir. Damar çapına göre takip edilebilir veya girişim yapılabilir. Çok geniş balonlar açık ya da kapalı yöntemlerle tedavi edilebilir. Hangi yöntemin seçileceğine; kişinin yaşına önemli sağlık sorunların olup olmamasına balonlaşma yerine göre karar verilir.5 yıl önce Türk Kalp ve Damar Cerrahisi Derneği “İçimizdeki Balon” başlıklı halkı bilinçlendirme kampanyası başlatmıştı Karaman’da da son 5 yıldır bu tür balonlaşmalara başarılı şekilde hem açık hem kapalı müdahale edilmektedir. En son 1 hafta önce hem karnında hem de göğsünde tehlikeli balonlaşma görülen A.B.Ç isimli, 65 yaşındaki hastamıza eş zamanlı hem göğüs hem de karın bölgesindeki balona açık cerrahi uygulamadan kapalı olarak başarılı şekilde müdahale edildi. Bu gün ise hastanın taburcu edilmesi planlanmaktadır. Ülkemizde sayılı kliniklerde Kalp Damar Cerrahisi, Girişimsel Radyoloji ve kimi zaman Kardiyoloji tarafından bu tür işlemler yapılmaktadır. Anestezi ve Reanimasyon Uzmanlarından Dr. Öğr. Üyesi Tayfun ET, Uzm. Dr. Mehmet Serdar Şencan ve Beyin Cerrahisi uzmanlarından Op. Dr. Gökhan Reşitoğlu’nun desteği ile anjio odasında kısa sürede gerçekleştirilen hem TEVAR hem de EVAR yöntemi ile eş zamanlı uygulanan endovasküler işleminin Kalp Damar Cerrahları tarafından Karaman’da uygulanabiliyor olması hastamız için büyük şanstır. Geç kalmış olsa da yıllardır kullandığı sigarayı bırakmış olan hastamıza uzun ömürler diliyoruz.”Böyle nitelikli ve özellikli ameliyatların Karaman Eğitim ve Araştırma Hastanesinde başarıyla yapıldığını aktaran Karaman Eğitim ve Araştırma Hastanesi Başhekimi Doç. Dr. Halil İbrahim TAŞCI, “ ilimizde bu tür ameliyatın yapılmasının gururunu yaşıyoruz. Hastanemiz bu tür ameliyatları yapma imkânına ve teknik donanıma sahiptir. Bundan sonra da bu tür ameliyatları gerçekleştirmeye devam edeceğiz. Bu ameliyatı gerçekleştiren hekimlerimize ve ekibine çok teşekkür ediyorum." ifadelerini kullandı.
Sağlık
Yayınlanma: 15 Ocak 2024 - 12:18
KARAMAN EĞİTİM VE ARAŞTIRMA HASTANESİNDE ÖZELLİKLİ AMELİYATLAR HIZ KAZANDI
Cerrahi ile teknolojinin birlikte kullanıldığı ve Türkiye’de az sayıda merkezde yapılabilen özellikli ve nitelikli ameliyatlar artık Karaman Eğitim ve Araştırma Hastanesinde de gerçekleştiriliyor.
Sağlık
15 Ocak 2024 - 12:18









